Recovering from a bad break.

Follow Thread

By Dr. Kovatchian

  • 0 Likes
  • 10 Replies
  1. Dr. Kovatchian

    Dr. Kovatchian
    Carlsbad

    Hey Y'all!!!! So.....I'm recovering from breaking my Left Tibia right above the ankle joint playing soccer my second passion behind golf...Hoping for a good few weeks...I'm already in a cast and getting a CT scan soon to make sure everything looks good...I have the second opinion Doctor lined up if necessary. We just moved back to Carlsbad and this setback has me Really bummed out about not being able to golf with my family and friends....Arrghhh!!! Staying positive I'll be back out on the practice green chipping and putting by late September.

    When you get a bad brake make birdies after bogeys!!!

    Dr. K

    Post Image
  2. Joe D

    Joe D
    Minooka, IL

    Sorry to hear about the break.
    At least you did it doing something you liked. versus falling out of bed.
    LOL
    Hope for a speedy recovery.
  3. Dave N

    Dave N
    Dade City, FL

    Did you have them put spikes on the bottom so you could play? Just saying.
  4. Michael JC

    Michael JC
    Orwell, VT

    Tough break, but I like the color of the cast!
    Masters green!
  5. Sean FN

    Sean FN
    Weymouth, MA

    Hope you are back on your feet soon! Nice color on the cast though. :-)
  6. Dr. Kovatchian

    Dr. Kovatchian
    Carlsbad

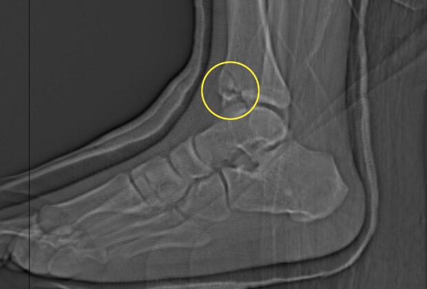
    Well...No Surgery at the moment...basically there is no solid bone to put screws and plates into to stabilize the break. The front of the Tibia looks like broken potato chips. I'll be in a cast and monitored bi weekly during the healing process.

    ARRRGGGHHHHH!!!!!
    Dr. K
    Post Image
  7. Dr. Kovatchian

    Dr. Kovatchian
    Carlsbad

    Going to keep posting to this thread throughout the recovery process.
    I'm 3 weeks post injury...Losing a ton of muscle mass in my left leg...sometimes the cast feels as if I could just pull it right off...actually looked thru my bag yesterday...cleaned my shag balls...felt nice to hold a few clubs...keeping positive.

    Next appointment on the 23rd.

    Cheers,
    Dr. K


  8. Dr. Kovatchian

    Dr. Kovatchian
    Carlsbad

    So the cast came off today for a few glorious minutes. Previous cast is too loose so another was ordered...my foot felt numb and stiff without the support of fiberglass.
    Another 2 weeks and then we may go to a walking boot and start doing some basic movements to regain my flexibility and stability...all is looking good!

    Next appointment on the 5th!

    As they say in Wisconsin...
    Forward...

    Dr. K
  9. Dr. Kovatchian

    Dr. Kovatchian
    Carlsbad

    The Cast is off and Doctor's orders to get moving!!!
    Walking in the moon boot and pool with some flexibility and PT as well.
    Time to start working hard to get back out on the course!!!

    I'll see my Doc in 4 weeks to evaluate my progress.

    Cheers,
    Dr. K
    Post Image
  10. Dr. Kovatchian

    Dr. Kovatchian
    Carlsbad

    8 weeks in post break.
    Foot feels pretty good overall.
    PT 3 times a week...walking in pool...just cleared by PT to ride a stationary bike.
    I'm going to put on a pair of shoes for the first time in 8 weeks today and just stand in place and walk a few steps. I'll continue to wear the walking boot for several more weeks. Daily ice buckets have been very helpful in my recovery.

    Forward!!!

    Dr. K
  11. Dr. Kovatchian

    Dr. Kovatchian
    Carlsbad

    My Doctor has given me the OK to drop the moon boot.
    The foot looks solid and PT is helping me regenerate my muscles and stability,
    I'll be putting and chipping for awhile until I get final clearance.
    My goal is to play a full 18 before Tiger returns to competition!!!

    Cheers,
    Dr. K

Please login to post a comment.

Sign In

Haven't registered for Team Titleist yet?

Sign Up